Среди неинвазивных исследований сердца МРТ точнее всего оценивает структуру и жизнеспособность миокарда. По её результатам врач может отличить обратимые изменения от необратимых и выбрать правильную тактику лечения. В этой статье я расскажу, в каких ситуациях назначается МРТ сердца, что она показывает и как проводится. И добавлю немного занимательной физики — объясню, на чём основан метод.
Что такое МРТ сердца
Магнитно-резонансная томография обеспечивает точную визуализацию сердца со всеми его сосудами и окружающими структурами. Этот метод считается лучшим для оценки состояния мягких тканей. Современные технологии также позволяют записывать видеофрагменты, на которых видно, как сокращается миокард, работают клапаны и движется кровь по предсердиям и желудочкам.
МРТ относится к инструментальным методам диагностики сердца и сосудов — с полным их перечнем вы можете ознакомиться в этой статье.

Как работает метод
МРТ основана на взаимодействии магнитного поля и радиоволн с атомами водорода, которые входят в состав каждой клетки человеческого организма.
-
Магнитное поле выстраивает спины ядер водорода в одном направлении.
-
Радиочастотный импульс кратковременно возбуждает ядра, лишая их равновесия.
-
После прекращения импульса атомы возвращаются в исходное состояние, испуская сигнал, который улавливает приёмная катушка.
-
Компьютер анализирует характеристики этого сигнала — скорость и амплитуду релаксации (T1- и T2-времена) — и формирует изображение, где каждая ткань имеет свой цветовой контраст. Например, вода (плазма, отёчная ткань) даёт сильный сигнал на T2-взвешенных снимках, а жир или нормальный миокард выглядят светлее или темнее в зависимости от параметров съёмки.
Таким образом, МРТ отображает ткани в соответствии с их молекулярными свойствами — это даёт исключительную чувствительность к изменениям кровотока и биохимии. (Напомню, что КТ формирует изображения, исходя из плотности структур, а ЭхоКГ — акустического эффекта. В этом их принципиальное различие.)
Основные ориентиры для МРТ — это вода и жиры.
-
В теле человека 60–70 % воды. Даже кости содержат её, пусть и немного, поэтому на МРТ они видны, просто дают очень слабый сигнал.
-
В жирах атомы водорода очень подвижны. Чем больше подвижных атомов, тем сильнее сигнал и ярче изображение. Поэтому жировая ткань активно светится и служит естественной меткой.
Контраст между водой и жиром — ключевой для расшифровки результатов исследования.
-
вода (долгое T1, длинное T2) даёт медленный, тёмный сигнал;
-
жир (короткое T1, короткое T2) — быстрый, светлый сигнал.
Если T1 и T2 представить как систему координат, то вода и жир займут крайние точки на графике. Между ними разместятся различные структуры: мышечные и соединительнотканные волокна, сердце, печень, головной мозг и т. д. Изменение состава ткани будет указывать на патологию. Например, при воспалении увеличится содержание воды, и сигнал сместится в сторону водного типа. При жировой дегенерации — наоборот.
Магнитно-резонансная томография появилась благодаря талантливым физикам. В 1946 г. Феликс Блох и Эдвард Перселл открыли ядерный магнитный резонанс, а в 1970-х Пол Лотербур и Питер Мэнсфилд предложили использовать пространственные градиенты магнитного поля для перевода сигналов атомов водорода в трёхмерные изображения. Первый снимок сделали в 1977 г. — это был срез человеческого тела от плеч до таза, а в 1990-х стала возможной и МРТ миокарда.
Что видит врач на МРТ сердца
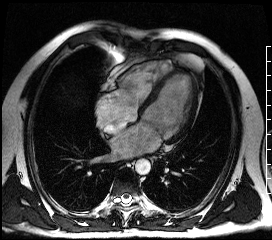
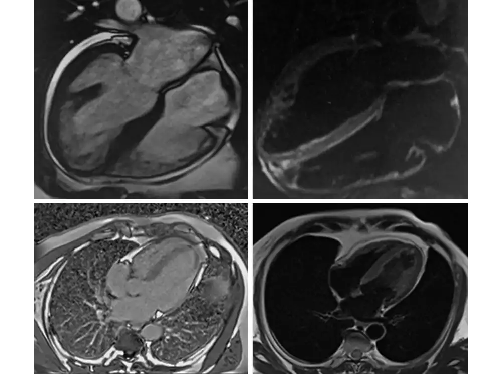
Во время МРТ специалист не наблюдает орган в реальном времени, как при УЗИ. Аппарат собирает сигналы от атомов водорода в тканях, а врач следит за качеством данных и параметрами съёмки. Затем компьютер преобразует сигналы в послойные изображения — срезы в разных проекциях (короткая, длинная ось, четырёхкамерная проекция). Это статические снимки, на которых видна анатомия сердца.
Они могут выполняться в следующих режимах:
-
нативные T1/T2-карты без введения контраста — показывают отёк, воспаление, инфильтрацию, избыток железа или диффузный фиброз миокарда;
-
фазово-контрастные последовательности — фиксируют направление и скорость кровотока, визуализируют турбулентность и регургитацию при клапанных пороках;
-
позднее контрастное усиление позволяет лучше видеть необратимые изменения после инфаркта или миокардита.
Чтобы исследовать орган в действии, используют так называемый кинорежим (киноМРТ) — многократную съёмку одного и того же участка, синхронизированную с ЭКГ. После обработки врач получает видеопетли. На них можно видеть, как двигаются стенки, открываются клапаны и полости заполняются жидкостью. Именно эти кадры позволяют оценить фракцию выброса, регургитации и сократимость сердечной мышцы.
T-взвешенные изображения — это разные режимы, позволяющие выделить анатомию тканей (T1) или патологические изменения (T2). К примеру, по T1-снимкам врач может оценить структуру миокарда, а по T2-изображениям — выявить отёки, воспаления, ишемические повреждения.
Уровни МРТ: базовый, контрастирование, картирование
Базовый уровень
Даже без контрастирования МРТ даёт много информации о сердце:
-
анатомия камер, клапанов и перегородок;
-
толщина стенок, объёмы, фракция выброса;
-
наличие выпота в перикарде;
-
состояние крупных сосудов.
В некоторых случаях этого достаточно — например, при врождённых пороках сердца, оценке функции желудочков и контрольных обследованиях.
Контрастирование
Контрастированием называют введение в кровь вещества, которое изменяет магнитные свойства тканей, делая различия на снимках более заметными. В контрастной МРТ используется гадолиний — ион редкоземельного металла в хелатной форме*. Он укорачивает T1-время релаксации, и ткани становятся ярче на T1-взвешенных изображениях.
Введённый внутривенно контраст распределяется в сосудистом русле и межклеточном пространстве. Из здоровой ткани гадолиний выводится быстро, а в повреждённой или фиброзной задерживается из-за разрушения мембран клеток или увеличения внеклеточного объёма. Это даёт характерный эффект позднего контрастирования, где здоровая ткань выглядит тёмной, а рубцы и зоны некроза — светлыми.
Контрастные МРТ-исследования могут быть разными:
-
перфузия миокарда — выполняется сразу после введения вещества и показывает, как кровь поступает к сердцу здесь и сейчас;
-
позднее контрастирование — проводится через 10–15 минут и помогает выявить фиброз, рубцы, воспаление и инфильтрацию;
-
T1-картирование до и после контраста — используется для расчёта внеклеточного объёма, позволяющего оценить выраженность фиброза и других структурных изменений.
Картирование
Картирование — это количественная оценка тканей. При картировании алгоритмы реконструкции МРТ не просто формируют тёмные и светлые участки, как на обычных T1/T2-снимках, а присваивают им конкретные значения в миллисекундах или процентах. Если цифры отклоняются от нормы, значит, в ткани есть патологические изменения.
-
Показатели T1 повышаются при фиброзе, воспалении, инфильтрации, снижаются при жировой дегенерации и перегрузке железом.
-
Повышенные T2-значения указывают на отёк, активное воспаление, острый инфаркт.
-
Внеклеточный объём миокарда рассчитывается в процентах по T1-картам до и после контрастирования. Используется для обнаружения фиброзных участков.
| Уровень исследования | Что показывает | Что выявляет |
|---|---|---|
| Базовое МРТ | Анатомию камер, перегородок и сосудов, сократимость, фракцию выброса | Врожденные пороки, нарушение функции желудочков, аномалии строения |
| Контрастное МРТ | Кровоснабжение, рубцы, фиброз, воспаление, жизнеспособность сердечной мышцы | Ишемическую болезнь сердца (ИБС), миокардит, кардиомиопатии |
| МРТ-картирование | Состав ткани, степень фиброза, отёк, инфильтрацию | Хронические и воспалительные заболевания, инфильтративные процессы |
Что показывает МРТ сердца
Анатомия камер и перегородок
МРТ способна воссоздавать трёхмерную анатомию сердца, включая предсердия, желудочки, клапаны и перегородки. 3D-реконструкция позволяет рассмотреть сердце во всех плоскостях — что особенно важно при врождённых пороках и сложных аномалиях, а также при подготовке к операции.
Толщина и структура миокарда
Магнитно-резонансная томография сердца — единственный неинвазивный метод, который даёт информацию о структуре миокарда. Используя T1/T2-картирование и позднее контрастирование, врач может выявить:
-
отёк и воспаление — при миокардитах, остром инфаркте;
-
фиброз и рубцы — при постинфарктных и гипертрофических изменениях;
-
инфильтрацию (например, при амилоидозе или саркоидозе).
Такие данные невозможно получить с помощью ЭхоКГ или КТ сердца, потому что ультразвук передаёт строение и функцию органа, а компьютерная томография — состояние коронарных артерий и кровоснабжение миокарда.
Клапаны и кровоток
Кинорежим показывает, как работают клапаны и движется кровь из камер в сосуды и наоборот. Для измерения скорости и объёма кровотока используют фазово-контрастные методики, которые позволяют вычислить степень регургитации (обратного заброса), стеноза (сужения) и шунтовых потоков (аномальное русло — например, из-за дефекта перегородки).
Перикард
На МРТ можно рассмотреть все слои перикарда, что позволит заметить:
-
утолщение — признак хронического воспаления или констрикции;
-
сращения — адгезии между листками;
-
жидкость (выпот) и степень её распространения;
-
констриктивные признаки — ограничение подвижности стенок сердца.
Исследование помогает различить два схожих по проявлениям состояния — констриктивный перикардит (сердце сдавлено оболочкой) и рестриктивную кардиомиопатию (сердце теряет эластичность из-за уплотнения мышцы).
Коронарные и крупные артерии
Метод визуализирует аорту, лёгочную артерию и другие магистральные сосуды. Коронарные артерии отображаются хуже из-за малого диаметра и сокращений сердца. Впрочем, это временное ограничение — технология МРТ-коронарографии активно развивается. Для оценки коронарного кровообращения предпочтительнее коронарография, однако при противопоказаниях к йодсодержащему контрасту врач-кардиолог может назначить МР-ангиографию.
| Метод | Что показывает | Преимущества | Ограничения |
|---|---|---|---|
| ЭхоКГ (УЗИ сердца) | Работу сердца, движение стенок и клапанов, скорость кровотока | Быстро, доступно, без излучения | Не различает структуру ткани, зависит от опыта врача |
| КТ сердца | Анатомию сосудов, кальцинаты, тромбы, аневризмы | Высокое пространственное разрешение, быстрое выполнение | Излучение, контраст на основе йода, не видит тканевые изменения |
| МРТ сердца | Структуру, функцию и состав тканей | Без излучения, высокая точность, выявляет фиброз и воспаление | Требует времени, противопоказана при некоторых имплантах |
Показания к проведению МРТ сердца
Ишемическая болезнь сердца
МРТ сердца позволяет выявить зоны ишемии или некроза и живые участки миокарда, то есть отличить обратимые поражения от необратимых. Для анализа кровоснабжения используются перфузионные режимы, а для поиска фиброза (в том числе постинфарктных рубцов) — позднее контрастирование.
Кардиомиопатии
Магнитно-резонансная томография сердца — самый информативный метод в диагностике кардиомиопатий (КМП).
Он безошибочно определяет тип поражения:
-
гипертрофическая КМП — по толщине стенок и локализации фиброза.
-
дилатационная КМП — по сократимости и степени фиброзных изменений.
-
рестриктивная и аритмогенная — по структуре миокарда, в т. ч. по замещению мышечной ткани соединительной или жировой.
Врожденные и приобретённые пороки
МРТ детально отображает анатомию сердца и крупных сосудов, что делает его ценным инструментом для выявления сложных врождённых пороков. Вдобавок технология безопасна для организма — исследование выполняется почти без ограничений, что важно для детей и хронически больных пациентов.
Воспалительные заболевания сердца
МРТ с картированием и поздним контрастированием — оптимально для диагностики миокардита и перикардита. Она позволяет обнаружить отёк и воспаление, участки некроза, утолщение и сращения перикарда — типичные признаки этих патологий. Также с её помощью можно наблюдать за восстановлением сердца после перенесённого заболевания.
Это в теории. Но на практике, к сожалению, метод доступен не всем. Он используется в специализированных центрах (федеральных, областных, университетских больницах), а в обычной поликлинике врач-кардиолог, скорее всего, назначит ЭхоКГ. И только если данные покажутся противоречивыми или потребуют уточнения — направит на МРТ.
Опухоли, тромбы, послеоперационный и постинтервенционный контроль
По снимкам МРТ можно дифференцировать опухоли и тромбы сердца — эти образования имеют разную структуру, васкуляризацию и динамику контрастирования. Также магнитно-резонансная томограмма даёт исчерпывающие сведения о состоянии органа после операций, стентирования или шунтирования.
Противопоказания и ограничения к МРТ сердца
МРТ безопасна для большинства пациентов, но перед исследованием врач обязательно уточнит о наличии имплантатов и других ограничений.
-
Кардиостимуляторы, дефибрилляторы и другие импланты — противопоказаны, но не все. Существуют совместимые устройства, с которыми можно выполнять процедуру под наблюдением специалистов. Перед обследованием проверяют модель и настройки прибора.
-
Беременность в первом триместре — относительное ограничение. МРТ проводят только по жизненным показаниям и строго без контраста.
-
Клаустрофобия, тяжёлая одышка, панические атаки, двигательные нарушения могут мешать прохождению исследования — в таких случаях пациентам назначают анестезию.
-
К исследованию могут не допустить при массе тела более 120 кг — из-за ограничения по нагрузке на стол томографа, а также при окружности грудной клетки свыше 150 см — из-за узкого диаметра туннеля.
-
При контрастировании учитывают функцию почек и переносимость гадолиния: при выраженной недостаточности контраст используют с осторожностью.
Как выполняется МРТ сердца
Подготовка
Перед исследованием нужно снять металлические предметы и электронные устройства и сообщить о наличии имплантов, хронических заболеваний, беременности и о грудном вскармливании. Заранее готовиться к процедуре не нужно, однако в день исследования лучше отказаться от кофе и крепкого чая: они учащают сердцебиение, что может влиять на качество изображений.
Что делать, если у вас имплант?
Перед МРТ уведомите специалиста об имплантах и электронных устройствах в вашем теле. Сильное магнитное поле может сместить или нагреть предмет, нарушить работу прибора или исказить снимки.
Сообщите врачу о кардиостимуляторе, дефибрилляторе, сосудистом стенте, протезе клапана, искусственном суставе, слуховом или зубном импланте.
Возьмите с собой паспорт устройства (или фото этикетки с модели и серийного номера). По нему проверят, можно ли проводить исследование.
Не пытайтесь определить совместимость самостоятельно. Похожие устройства могут различаться по допускам к МРТ.
Если устройство совместимо, исследование выполняют по специальному протоколу под наблюдением специалистов.
Если не совместимо, врач подберёт альтернативу (например, КТ или УЗИ).
| Категория | Устройства |
|---|---|
| Кардиологические устройства |
Кардиостимулятор Имплантируемый кардиовертер-дефибриллятор Кардиомонитор Искусственный или механический клапан сердца Сосудистые стенты, фильтры (например, кава-фильтр) |
| Ортопедические и хирургические импланты |
Металлические пластины, винты, штифты, спицы, фиксаторы костей Эндопротезы суставов (тазобедренные, коленные и др.) Металлические сетки (например, после грыжевых операций) |
| Нейрохирургические и ЛОР-устройства |
Клипсы на сосудах мозга Имплантированные слуховые аппараты внутричерепные или спинальные стимуляторы |
| Стоматологические конструкции |
Зубные импланты, металлические коронки, ортодонтические брекеты, мосты |
| Прочие |
Инсулиновые или лекарственные помпы Внутриматочная спираль (особенно старая металлическая) Косметические импланты с металлическими элементами |
Процедура
Человек ложится на подвижный стол, который заезжает внутрь томографа, затем начинается МРТ-сканирование. Обследование занимает в среднем 30–60 минут. Делается серия снимков в разных режимах: сначала кинорежимы, на которых видно, как сокращается сердце, затем — карты T1/T2 для оценки структуры органа.
В расширенных исследованиях добавляют стресс-перфузию (оценку кровоснабжения под медикаментозной нагрузкой) и позднее контрастирование для выявления рубцов и фиброза. Если назначено контрастирование, внутривенно вводят препарат с гадолинием.
После исследования можно сразу возвращаться к обычным делам. Исключение — стресс-тест: врач коротко наблюдает за состоянием и давлением и только убедившись, что всё в порядке, отпускает пациента домой.
Выводы
Магнитно-резонансная томография сердца — один из самых безопасных методов современной кардиодиагностики. Она позволяет комплексно оценить анатомию, функцию сердца и его тканевую структуру, выявить воспаление, ишемию или фиброз.
Особенно информативна при кардиомиопатиях, миокардитах, подозрении на ишемическую болезнь и врождённые аномалии сердца. Несмотря на ряд технических ограничений, именно МРТ показывает врачу то, что не видно на УЗИ и КТ — изменения на уровне ткани, позволяющие обнаружить болезнь до появления выраженных симптомов.
Часто задаваемые вопросы (FAQ)
Что показывает МРТ сердца?
Метод даёт трёхмерное изображение сердца и сосудов и позволяет оценить, как работают камеры, клапаны и мышцы. По результатам исследования можно выявить воспаление, отёк, рубцы и другие изменения тканей.
Когда врач назначает МРТ сердца?
Когда нужно уточнить диагноз (например, при кардиомиопатиях, миокардитах, пороках, подозрении на ИБС) или после инфаркта. Также метод применяют для оценки последствий операций и стентирования.
Чем МРТ отличается от УЗИ или КТ сердца?
УЗИ показывает, как устроено сердце и как оно сокращается, КТ — строение сосудов и кровоснабжение миокарда, МРТ — состав и состояние тканей. Магнитно-резонансная томография позволяет обнаружить такие патологические изменения, как воспаление, фиброз и рубцы, дифференцировать опухоли и тромбы и многое другое.
Опасна ли процедура и нужна ли подготовка?
Нет, МРТ безопасна. Нужно снять все металлические предметы, сообщить специалисту об имплантах и не пить кофе перед исследованием. После процедуры можно сразу возвращаться к обычным делам.
Зачем иногда вводят контраст?
Контраст на основе гадолиния делает различия между здоровыми и повреждёнными тканями более заметными. Он помогает выявить патологии и оценить кровоснабжение органа.
Можно ли делать МРТ сердца при имплантах или стенте?
Да, если устройство совместимо. Врач проверит модель и при необходимости проведёт исследование по специальному протоколу. Если имплант не совместим, подберут альтернативный метод — например, КТ или УЗИ.
Список литературы
-
Аганов А.В. Введение в магнитно-резонансную томографию: учебное пособие для бакалавров и магистрантов. Казань: Казанский (Приволжский) федеральный университет; 2014.
-
Анисимов Н.В., Батова С.С., Пирогов Ю.А. Магнитно-резонансная томография: управление контрастом и междисциплинарные приложения. Москва: МАКС Пресс; 2013.
-
Кардиомиопатии и тканевая характеристика миокарда: современные обзоры (подборка по МРТ-картированию, 2022).
-
Клинические рекомендации. Перикардиты. Минздрав РФ, РКО, Ассоциация кардиологов. Росс кардиологический журнал, 2024;29(8):5797.
-
Клинические рекомендации. Миокардиты. Комментарий к рекомендациям. Российский кардиологический журнал, 2023;28(10):4939.
-
Клинические рекомендации. Ишемическая болезнь сердца (стабильные формы). Минздрав РФ/РКО. 2021–2024.
-
American College of Radiology Committee on MR Safety. ACR Manual on MR Safety. Reston (VA): American College of Radiology; 2024.
-
American College of Radiology Committee on Drugs and Contrast Media. ACR Manual on Contrast Media. Version 2024. Reston (VA): American College of Radiology; 2024.
-
Leiner T., Bogaert J., Friedrich M.G., Mohiaddin R., Muthurangu V., Myerson S., et al. SCMR Position Paper (2020) on clinical indications for cardiovascular magnetic resonance. J Cardiovasc Magn Reson. 2020;22:76.
-
Kotecha T., Martinez-Naharro A., Boldrini M., Treibel T.A., Abdel-Gadir A., Bulluck H., et al. Diagnostic and prognostic utility of whole-heart T1 mapping: systematic review and meta-analysis. J Cardiovasc Magn Reson. 2023;25(1):65.
-
O’Brien A.T., Gil K.E., Varghese J., Simonetti O.P., Zareba K.M. T2 mapping in myocardial disease: a comprehensive review. J Cardiovasc Magn Reson. 2022;24:33.
-
Knuuti J., Wijns W., Saraste A., Capodanno D., Barbato E., Funck-Brentano C., et al. The performance of non-invasive imaging tests to diagnose CAD: a meta-analysis. Int J Cardiol. 2022.
-
Waugh S.A., Timmons S., Isaac A., et al. Coronary MR angiography: techniques and clinical applications — review. Magn Reson Imaging Clin N Am. 2023;31(1):1-18.
-
Nakae T., Miyazaki M., Kido T. Key factors affecting image quality in coronary MR angiography: a review. Magn Reson Med Sci. 2025;24(3):402-420.
-
Arbelo E., Kaski J.P., Elliott P.M., Gimeno J.R., Hey T.M., Varnava A., et al. 2023 ESC Guidelines for the management of cardiomyopathies. Eur Heart J. 2023;44(37):3503-3626.
-
Kaski J.P., Arbelo E. The 2023 ESC guidelines for the management of cardiomyopathies: the 10 commandments. Eur Heart J. 2024;45(13):1101.
-
Ruiz-Mateas F., García-Riesco L., Peral V., et al. Magnetic resonance imaging in patients with cardiac implantable electronic devices: the RESONANCE Spanish registry. Europace. 2024;26(11):euae277.
-
Weberling L.D., Stiermaier T., Eitel I., et al. Cardiac MRI versus CT coronary angiography for coronary artery disease: contemporary review. Cardiovasc Diagn Ther. 2022;12(6)
