До появления УЗИ наблюдать за работой сердца можно было только на анатомическом столе. Сегодня это можно сделать за 15 минут, без боли и риска, с помощью аппарата и датчика. Ультразвук отображает анатомию и физиологию органа в реальном времени. В этой статье вы узнаете всё про эхоКГ: как проводится это исследование, какие имеет разновидности, в каких случаях назначается и что показывает.
Что такое УЗИ сердца
Эхокардиография (эхоКГ), или ультразвуковое исследование сердца, представляет собой визуализацию камер, клапанов и кровотока при помощи ультразвука.
УЗИ — технологический потомок перкуссии. Как и его знаменитый предок (который до сих пор используется в медицине), этот метод основан на отражении звуковых волн от тканей организма. Но волны эти очень высокой частоты — 2–10 МГц. Человеческое ухо не способно их различить, а они есть — и легко проникают сквозь органы.
Легко, но не одинаково.

Ультразвук преодолевает разные структуры по-разному, и в этом — вся физика метода. Каждая из них — кость, мышца, кровь, жир — имеет свою плотность и упругость. Эти свойства определяют скорость и отражение звуковой волны.
-
В жидкостях (кровь, моча, выпот) она распространяется свободно. Звук почти не отражается и даже слегка поглощается.
-
Мягкие ткани (мышцы, печень) — проходит чуть медленнее и частично отражается.
-
В костях или воздухе отражение почти полное, и волна дальше не идёт.
Когда ультразвук встречает границу между двумя средами с различной плотностью, часть его проходит дальше, а часть возвращается к датчику — как эхо в горах. (Поэтому, кстати, метод и называется эхокардиографией.)
Например, УЗ-волна проникает через слой миокарда и достигает крови в сердечной полости. Часть волны в этот момент отражается и превращается в линию на мониторе, а часть движется дальше.
Именно так создаётся картина эхоКГ, где:
-
много отражений — участок выглядит светлым (эхогенным);
-
мало отражений — тёмным (анэхогенным);
-
полностью непрозрачные для ультразвука структуры (например, кость) создают акустическую тень.
То есть УЗИ буквально рисует звуком карту плотностей, превращая физические границы в визуальные. И мы видим орган так, как он выглядит в реальности.
В основе технологии лежат два открытия XIX века — эффект Доплера (изменение частоты звука при движении источника) и пьезоэлектрический эффект (способность кристаллов преобразовывать механические колебания в электрические сигналы). Сначала ультразвук использовали в промышленности и военных целях — для обнаружения подлодок, а уже после Второй мировой войны инженеры и врачи начали применять его для исследования человеческого тела.
В 1950-х гг. врач Иэн Дональд совместно с инженером Томом Брауном создал первый медицинский УЗ-сканер. С тех пор технология развивалась стремительно: от простых эхограмм до 3D- и 4D-изображений, цветного допплера и портативных аппаратов.
Зачем назначают эхокардиографию
Диагностика врождённых и приобретённых пороков
ЭхоКГ — базовый метод исследования анатомии и гемодинамики сердца. Он позволяет выявить и описать:
-
клапанные пороки — стенозы и регургитации клапанов (митрального, аортального, трёхстворчатого, реже — лёгочного);
-
дефекты перегородки — межпредсердной, межжелудочковой, атриовентрикулярной;
-
аномалии сосудов — транспозиции, коарктация аорты, персистирующий артериальный проток, стеноз лёгочной артерии;
-
послеоперационные и воспалительные изменения — протезы, шунты, зоны фиброза или аневризмы.
УЗИ используется как при первичной диагностике, так и при динамическом наблюдении врождённых и приобретённых пороков.
Оценка функции миокарда и сердечной недостаточности
ЭхоКГ — основной диагностический инструмент в работе с пациентами с сердечной недостаточностью. Он позволяет оценить функциональную активность органа, а именно:
-
измерить размеры камер и толщину стенок;
-
оценить общую и локальную сократимость миокарда;
-
определить диастолическую функцию и давление в лёгочной артерии;
-
выявить перегрузку объёмом или давлением крови.
Эхокардиография — простой и доступный метод. Сегодня УЗИ, в том числе с допплерографией, можно выполнить в любой поликлинике. Исследование назначают пациентам с жалобами на одышку, боль или дискомфорт в груди и иными симптомами.
О других инструментальных методах диагностики сердца читайте в этой статье.
Также на эхоКГ направляют при наличии факторов риска (сахарный диабет, гипертония, отягощённая наследственность) либо при обнаружении признаков структурных/функциональных изменений на физикальном обследовании или ЭКГ.
Во время медосмотра у молодой женщины сняли ЭКГ. На распечатке обнаружились косвенные признаки пролапса митрального клапана. При аускультации врач услышал мягкие систолические шумы. Пациентку отправили на эхокардиографию, которая показала пролабирование клапана в полость левого предсердия. Без регургитации и гипертрофии желудочка. В результате такой случайной находки девушка получила диагноз — пролапс митрального клапана без гемодинамических нарушений. Состояние не требует лечения, его нужно просто наблюдать.
Мониторинг лечения и контроль после вмешательств
УЗИ сердца используется для оценки состояния до и после операций и интервенционных вмешательств (протезирование клапанов, стентирование, абляции). Также это важная часть протокола наблюдения при инфекционном эндокардите, кардиомиопатиях, врождённых пороках и контроля терапии при хронических заболеваниях.
| Симптомы/ситуации | Что может означать | Когда показано |
|---|---|---|
| Одышка, снижение толерантности к нагрузке | Сердечная недостаточность, дисфункция миокарда, клапанная патология | Для оценки сократимости миокарда, фракции выброса, давления в лёгочной артерии |
| Боль или дискомфорт в груди | Ишемия, кардиомиопатия, перикардит | Для исключения структурных изменений и осложнений |
| Перебои, ощущение «замирания» сердца | Нарушения ритма (экстрасистолия, тахи- и брадиаритмии) | После ЭКГ — если есть аритмии, для исключения структурных причин (пролапс, дилатация, гипертрофия) |
| Обмороки, головокружения | Возможные аритмии, обструктивная кардиомиопатия, стеноз | При подозрении на структурную причину (по ЭКГ, шумам, анамнезу) |
| Шумы при аускультации | Врожденные или приобретённые пороки | Для подтверждения или исключения клапанной/перегородковой патологии |
| Отёки ног, увеличение печени | Правожелудочковая недостаточность, лёгочная гипертензия | Для оценки функции правых отделов и давления в лёгочной артерии |
| Артериальная гипертензия | Гипертрофия ЛЖ, диастолическая дисфункция | Для оценки ремоделирования миокарда и стадий поражения органа |
| Изменения на ЭКГ | Признаки перегрузки, ишемии, пролапса клапана | Для уточнения анатомии и гемодинамики |
| Подозрение на инфекционный эндокардит | Вегетации, поражения клапанов | Для подтверждения диагноза и контроля осложнений |
| После инфаркта или операции | Нарушение сократимости, аневризма, снижение фракции выброса | Для контроля состояния миокарда и эффективности лечения |
| После установки кардиостимулятора | Возможные осложнения (выпот в перикарде, перфорация, тромб, диссинхрония) | Для оценки реакции на стимуляцию и исключения осложнений |
| Плановое обследование спортсменов, беременных, лиц с наследственными факторами | Возможные скрытые пороки, кардиомиопатии | Для скрининговой оценки структуры и функции сердца |
Виды УЗИ сердца
Трансторакальная эхокардиография (ТТЭ)
Это самый простой и распространённый вариант, при котором УЗИ выполняют наружно через грудную клетку. ТТЭ не имеет противопоказаний и подходит для большинства клинических ситуаций. Она позволяет оценить размеры камер сердца, функции миокарда и клапанов, убедиться в отсутствии или наличии жидкости в перикарде.
Однако качество изображения может быть снижено при ожирении, массивной грудной клетке, заболеваниях лёгких и после операций. При подозрении на патологии задних отделов или перегородок органа ТТЭ может быть недостаточно информативна. В этих случаях врач назначает чреспищеводную эхоКГ.
Стандартное исследование занимает 10–20 минут; иногда дольше, если изображение затруднено (например, при ожирении или заболеваниях лёгких). УЗИ не требует подготовки, а после процедуры можно сразу возвращаться к обычным делам.
Чреспищеводная эхокардиография (ЧПЭ)
Пищевод располагается за сердцем — это удобная позиция для сканирования ультразвуком. Она даёт более детальное и чёткое изображение. ЧПЭ, при которой датчик вводится через пищевод, позволяет детально оценить клапаны, предсердия, перегородки и аорту.
Метод используют при подозрении на тромбы, инфекции (эндокардит) или врождённые дефекты перегородок, а также при сложных клапанных пороках.
Выполняется он сложнее, чем стандартная эхоКГ, а потому требует подготовки и лёгкой анестезии. Кроме того, у ЧПЭ имеются противопоказания: варикозное расширение вен пищевода, язвы, стриктуры, недавние кровотечения. После сканирования бывает лёгкий дискомфорт в горле.
Исследование проводится натощак: нельзя есть и пить за 4–6 часов до процедуры. Перед началом горло орошают анестетиком, чтобы снизить рвотный рефлекс. Затем тонкий датчик проводят через рот в пищевод. В процессе контролируют пульс, давление и дыхание пациента. По окончании рекомендуют подождать 1–2 часа, чтобы восстановилось глотание, и только потом можно есть и пить.

Стресс-эхокардиография (Стресс-эхоКГ)
Стресс-эхоКГ — это исследование сердца ультразвуком, которое проводится с нагрузкой. Сначала выполняется эхокардиография в покое, затем — после или во время нагрузки, чтобы оценить, как орган работает в условиях стресса.
Метод позволяет выявлять скрытые нарушения, такие как ишемия, недостаточное кровоснабжение миокарда, дисфункция левого желудочка. Его назначают:
-
при подозрении на ишемическую болезнь сердца (ИБС) или стенокардию, если стандартное эхоКГ не даёт полной картины;
-
при клапанных пороках, когда есть основания предполагать появление или усиление регургитации под нагрузкой;
-
для оценки функционального резерва миокарда перед кардиохирургическими вмешательствами;
-
для мониторинга лечения при ИБС, кардиомиопатиях, сердечной недостаточности.
Если пациент способен двигаться полноценно, используют физическую нагрузку (велоэргометр, тредмил). Если нет — фармакологическую, чаще добутамином. Результаты фиксируются на каждом этапе — до, во время и после нагрузки — а затем сравниваются.
Сам метод УЗИ безопасен, но нагрузка требует медицинского контроля — с непрерывной ЭКГ и измерением АД. Врач оценивает состояние пациента и прекращает тест при первых же признаках ишемии, аритмии или выраженной одышки. Иногда до процедур выполняют стресс-тест (велоэргометрию) и/или холтеровский мониторинг, чтобы определить допустимый уровень нагрузки и исключить противопоказания. Подробнее об этих методах читайте в статьях «Нагрузочное ЭКГ-тестирование» и «Холтер-мониторирование».

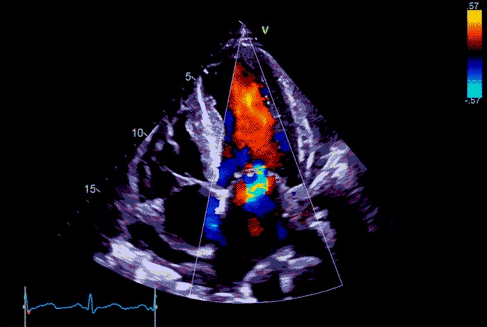
Допплер-эхокардиография
Допплерография — это принцип, основанный на эффекте Доплера: ультразвук меняет частоту, когда отражается от движущихся частиц (в частности, эритроцитов).
Поэтому допплеровский метод, в отличие от стандартного УЗИ, отражает не анатомию, а гемодинамику сердца.
Соответственно, допплер-эхоКГ показывает направление и скорость кровотока, а также градиенты давления крови. Исследование назначают, чтобы выявить регургитацию, шунты и признаки перегрузки камер.
Допплеровский режим встроен во все современные УЗ-аппараты. Он сочетается со стандартным B-режимом — серым 2D-изображением, которое отражает анатомию органа. Технически допплерография может выполняться трансторакально, через пищевод или в рамках стресс-эхоКГ. То есть с поверхностным или чреспищеводным датчиком — как с нагрузкой, так без неё.
Допплеровское УЗИ сердца выполняют для:
-
оценки клапанных пороков — степени регургитации и стеноза, направления и объёма обратного тока крови;
-
диагностики дефектов межкамерных перегородок — например, межпредсердных или межжелудочковых шунтов;
-
расчёта давления в лёгочной артерии и оценки перегрузки правых отделов органа;
-
контроля после операций и малоинвазивных вмешательств, когда важно отследить гемодинамику.
Современные эхокардиографические аппараты используют несколько допплеровских режимов. Каждый решает свою задачу:
-
цветной показывает направление и турбулентность потока крови;
-
спектральный (импульсный или непрерывноволновой) отражает скорость и форму кровотока;
-
тканевой, который также является разновидностью спектрального, отражает, как двигаются мышцы сердца (стенка желудочка, кольцо митрального клапана и т.д.).
В клинической практике эти режимы комбинируются с 2D-визуализацией:
-
2D + цветной + импульсный допплер — стандарт оценки клапанов и потоков;
-
2D + непрерывноволновой — при подозрении на стеноз или ускоренный ток крови;
-
2D + тканевой — при анализе диастолической дисфункции и сердечной недостаточности с сохранённой фракцией выброса.
В ряде случаев используются 3D/4D эхокардиография и контрастное УЗИ, когда важна максимально точная анатомия или есть сложности с визуализацией кровотока.
| Режим | Что показывает | Клиническое применение |
|---|---|---|
| Импульсный | Скорость тока крови в выбранной точке | Анализ локальных потоков, например, через митральный клапан или выносящий тракт ЛЖ |
| Непрерывноволновой | Высокие скорости кровотока на всём пути волны | Измерение градиентов давления при стенозах или ускоренных потоках |
| Цветной | Направление и распределение тока крови в режиме реального времени | Выявление регургитации, шунтов, турбулентности |
| Тканевой | Скорость движения миокарда | Оценка диастолической функции, синхронности сокращений, региональной сократимости |
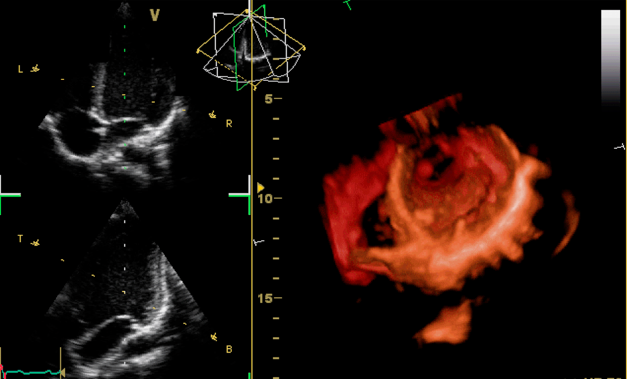
3D- и 4D-эхокардиография
3D-эхоКГ фиксирует объёмное изображение. Он не комбинирует плоские срезы, как обычное УЗИ, а собирает пространственную модель. Получается 3D-реконструкция камер, клапанов и перегородок сердца, где можно рассмотреть структуру под любым углом. 4D-визуализация — трёхмерная эхоКГ, которая показывает движения органа в реальном времени.
Такие исследования стоят дороже, и аппараты есть не во всех клиниках, особенно в регионах. 3D и 4D УЗИ применяются, когда нужна объёмная и точная визуализация:
-
при сложных врождённых пороках у детей;
-
для тщательного исследования митрального и аортального клапанов;
-
при малоинвазивных операциях, в том числе в процессе проведения;
-
для динамического мониторинга после пластики либо протезирования клапанов.

Что показывает УЗИ сердца
Исследуя сердце с помощью ультразвука, врач наблюдает его состояние и работу в реальном времени: как оно сокращается, как открываются клапаны, сколько жидкости в перикарде и как по камерам течёт кровь.
Камеры и стенки
Метод показывает размеры и форму предсердий и желудочков, толщину стенок и силу сокращений. Врач смотрит, нет ли гипертрофии (утолщения), ослабления миокарда или перерастяжения — то есть признаков сердечной недостаточности, гипертонии или перенесённого инфаркта.
Клапаны
ЭхоКГ позволяет оценить движение створок, наличие утолщений, кальциноза или регургитации. На УЗИ хорошо определяются клапанные пороки: например, сужение или неполное закрытие.
Перикард
Перикард — это сердечная сумка, которая содержит малое количество жидкости. Эта жидкость играет роль смазки и амортизатора. Если её становится много, развивается перикардиальный выпот. УЗИ позволяет выявить его и понять, насколько он опасен. Массивный выпот сдавливает орган — он не может нормально наполняться кровью, и возникает тампонада, требующая экстренной помощи.
Давление и кровоток
С помощью допплеровского режима измеряют скорость и направление кровотока. По этим данным можно косвенно измерить давление в лёгочной артерии и убедиться, что нет перегрузки сердца — она может развиваться при гипертонии, пороках клапанов и хронических болезнях лёгких.
Особые находки
Иногда на УЗИ обнаруживаются тромбы, вегетации (наросты) или опухолевидные образования. Такие случаи требуют дополнительного обследования — чаще всего оно выполняется через пищевод.
ЭхоКГ даёт много показателей: размеры камер, толщину стенок, фракцию выброса, скорости кровотока. Однако интерпретация их зависит от ситуации. Один и тот же размер левого предсердия у спортсмена и у гипертоника может быть как нормой, так и признаком перегрузки. Пограничная фракция выброса может считаться нормальной или чуть сниженной — в зависимости от жалоб пациента, артериального давления и сопутствующих заболеваний.
Поэтому врач никогда не оценивает УЗИ в отрыве от клиники. Он учитывает симптомы, данные физикального обследования, ЭКГ, анализов и результаты других исследований (КТ, МРТ).
Как проводится и что показывает физикальное обследование ССС — рассказываю здесь.
| Показатель | Клиническое значение | Возможные причины нарушений |
|---|---|---|
| Размеры камер | Состояние предсердий и желудочков | Гипертония, сердечная недостаточность, клапанные пороки |
| Толщина стенок | Гипертрофия сердечной мышцы | Гипертония, кардиомиопатии |
| Фракция выброса | Эффективность перекачивания крови | Снижение — при сердечной недостаточности, после инфаркта |
| Движение стенок | Характер сокращений миокарда (равномерно или нет) | Ишемия, рубцы, кардиомиопатии |
| Работа клапанов | Открываются и закрываются ли створки полностью | Стеноз или регургитация |
| Прохождение крови через клапаны | Скорость и направление кровотока | Пороки, лёгочная гипертензия |
| Выпот в перикарде | Наличие выпота и его влияние на наполнение камер | Перикардит, травма, онкопроцесс |
| Давление в лёгочной артерии | Нагрузка на правые отделы | Повышение — при лёгочной гипертензии, ХОБЛ, клапанных пороках |
| Внутрисердечные массы | Тромбы или образования | Фибрилляция предсердий, сердечная недостаточность, эндокардит |
Преимущества и ограничения УЗИ сердца
Преимущества
Главное достоинство УЗИ — его безопасность, связанная с отсутствием рентгеновского излучения. Ультразвук не вредит сердцу, поэтому эхокардиографию можно выполнять с любой периодичностью. Это особенно важно, когда врач следит за динамикой болезни: например, как восстанавливаются ткани после инфаркта, хорошо ли работает протезированный клапан.
Переносные аппараты позволяют делать УЗИ у постели больного — например, в палате. Ещё одно важное преимущество — универсальность. Эхокардиография подходит людям любого возраста и состояния здоровья, от новорождённых до беременных и пациентов с кардиостимулятором. Она безболезненна и не требует подготовки.
Ограничения
Ограничения УЗИ немногочисленны и носят чисто технический характер.
-
Если ультразвук плохо проходит сквозь ткани, изображение получается недостаточно чётким. Такое бывает при ожирении, эмфиземе лёгких, деформации грудной клетки — дополнительные структуры, находящиеся на пути УЗ-волн, искажают картину.
-
Также УЗИ не даёт оценить состояние коронарных артерий. Они слишком тонкие и расположены так, что аппарат их не видит. Для визуализации этих сосудов назначают КТ или МРТ.
-
Качество исследования во многом зависит от действий узиста: насколько правильно он выбрал позицию датчика, угол, режим, параметры. Один и тот же пациент у разных специалистов может получить разные цифры. Класс аппарата тоже имеет значение.

Когда врач назначает дополнительные исследования
Если после у врача остаются вопросы, он направляет пациента на дополнительные исследования. Как правило, это визуализационные методы, но более продвинутые. С их помощью можно уточнить важные детали и/или выяснить причины изменений, обнаруженных на УЗИ.
-
МРТ визуализирует ткани миокарда: есть ли воспаление, участки фиброза, отложений железа или жира. МРТ назначают при миокардите, кардиомиопатиях и редких инфильтративных заболеваниях.
-
КТ-коронарография показывает состояние коронарных артерий и степень их сужения при атеросклерозе. Это метод выбора при подозрении на ишемическую болезнь сердца.
-
Сцинтиграфия и перфузионные исследования помогают оценить кровоснабжение миокарда и выявить участки с риском нарушений.
Женщина 56 лет пришла ко мне с жалобами на одышку при нагрузке и неприятные ощущения в груди. УЗИ сердца показало незначительное утолщение стенки левого желудочка, в остальном же всё было в норме. Однако узист обратил внимание на локальную гипокинезию (снижение подвижности) нижней стенки ЛЖ. Мы предположили, что это признак ишемии из-за недостаточного кровоснабжения участка миокарда.
Чтобы подтвердить или опровергнуть это предположение, я отправил пациентку на КТ-коронарографию. Исследование показало сужение правой коронарной артерии, которое и вызвало проблему. Так намётанный глаз специалиста позволил вовремя диагностировать ИБС — теперь женщина получает терапию, которая убережёт её от инфаркта.
Выводы
Эхокардиография — простой и доступный метод, который позволяет детально оценить состояние и работу сердца. В редких случаях ультразвук может оказаться менее информативным — в таких случаях врач назначает МРТ или КТ-коронографию.
Но чаще всего УЗИ оказывается достаточно, чтобы выявить патологию, оценить эффективность терапии и восстановление после операции, распознать первые признаки сердечной недостаточности. Это безопасное исследование, которое можно выполнять без ограничений — как при мониторинге хронических заболеваний, так и с целью профилактического контроля у пациентов группы риска.
Частые вопросы (FAQ) по УЗИ сердца
Что такое УЗИ сердца и чем оно отличается от ЭКГ?
Эхокардиография (эхоКГ) — это ультразвуковое исследование, которое показывает состояние и работу сердца. С его помощью врач оценивает, как сокращается миокард, открываются клапаны, движется кровь. ЭКГ фиксирует электрическую активность органа — ритм и проводимость.
В каких случаях врач назначает эхокардиографию?
Когда есть симптомы или данные осмотра, указывающие на возможные патологии:
-
одышка, боли в груди, перебои, обмороки, отёки;
-
шумы при аускультации, изменения на ЭКГ, повышенное давление;
-
подозрение на пороки, сердечную недостаточность, кардиомиопатию;
-
контроль после операций, стентирования, установки кардиостимулятора.
Также эхоКГ используют для профилактики у спортсменов, беременных, людей с наследственными факторами.
Вредно ли УЗИ сердца и нужна ли подготовка?
Это безболезненная и безопасная процедура. Подготовка зависит от метода.
-
При обычной (трансторакальной) эхоКГ она не требуется.
-
При чреспищеводной нельзя есть и пить за 4–6 часов до исследования.
-
При стресс-эхоКГ может понадобиться отмена лекарств — это вы должны обсудить с врачом.
Что показывает УЗИ при сердечной недостаточности и пороках клапанов?
При сердечной недостаточности специалист смотрит размеры камер, толщину стенок, фракцию выброса, диастолическую функцию и давление в лёгочной артерии — по этим показателям можно понять, как сердце справляется с нагрузкой. При клапанных пороках врач видит утолщения, кальциноз, стеноз, пролабирование створок, обратный заброс или его отсутствие.
Почему после УЗИ могут понадобиться другие исследования?
УЗИ отображает уже имеющиеся нарушения — причины которых могут оставаться «за кадром». Иногда ультразвук оказывается недостаточно информативным: при поражении коронарных артерий или скрытой ишемии, например. Поэтому врач может назначить:
-
МРТ — для оценки структуры и воспалительных изменений миокарда;
-
КТ-коронарографию — для визуализации сосудов и степени их сужения;
-
сцинтиграфию — для оценки кровоснабжения и жизнеспособности ткани.
Можно ли поставить диагноз только по УЗИ?
Зависит от ситуации. Некоторые патологии сердца ультразвук определяет однозначно: пролапс митрального клапана, дефект перегородки, выпот в перикарде. Другие (которых большинство) требуют уточнения и интерпретации результатов в контексте жалоб, осмотра, ЭКГ и лабораторных анализов.
Автор статьи: врач кардиолог
Потехин Евгений Георгиевич
Список литературы
-
ГБУЗ «Научно-практический клинический центр диагностики и телемедицинских технологий Департамента здравоохранения города Москвы». Трансторакальная эхокардиография у взрослых: методические рекомендации. Москва: ГБУЗ «НПКЦ ДиТ ДЗМ»; 2020. (Серия «Лучшие практики лучевой и инструментальной диагностики», вып. 54). Russian.
-
Российское кардиологическое общество (РКО). Выполнение стандартной трансторакальной эхокардиографии: методические рекомендации [Internet]. Москва: РКО; 2024 [cited 2025 Oct 22].
-
Delgado V, Habib G, Prendergast B, et al. 2023 ESC Guidelines for the management of endocarditis: Developed by the Task Force on the management of endocarditis of the European Society of Cardiology (ESC); Endorsed by the European Association for Cardio-Thoracic Surgery (EACTS) and the European Association of Nuclear Medicine (EANM). Eur Heart J. 2023;44(39):3948-4042.
-
McDonagh TA, Metra M, Adamo M, Gardner RS, Baumbach A, Böhm M, et al. 2021 ESC Guidelines for the diagnosis and treatment of acute and chronic heart failure. Eur Heart J. 2021;42(36):3599-3726.
-
Omerovic S, Jain A. Echocardiogram [Internet]. In: StatPearls. Treasure Island (FL): StatPearls Publishing; 2024 [cited 2025 Oct 22].
-
Pellikka PA, Arruda-Olson A, Chaudhry FA, Chen MH, Marshall JE, Porter TR, et al. Guidelines for performance, interpretation, and application of stress echocardiography in ischemic heart disease: From the American Society of Echocardiography. J Am Soc Echocardiogr. 2020;33(1):1-41.e8.
-
Vahanian A, Beyersdorf F, Praz F, Milojevic M, Baldus S, Bauersachs J, et al. 2021 ESC/EACTS Guidelines for the management of valvular heart disease. Eur Heart J. 2022;43(7):561-632.
